St. Mary’s stroke program receives 11th consecutive AHA/ASA award

A stroke is often called a “brain attack” because it’s like a heart attack in the brain. And, like a heart attack, the faster treatment begins, the less risk the patient has of dying or suffering permanent disability.

stroke care badge

St. Mary’s is dedicated to providing state-of-the-art stroke care fast. For the 11th year in a row, St. Mary’s Hospital has received the Stroke Gold Plus Quality Achievement Award from the American Heart Association/American Stroke Association’s Get With The Guidelines® program.

“St. Mary’s Gold-Plus awards reflect our commitment to providing stroke patients with the most appropriate care possible,” says Joanne Lockamy, St. Mary’s Stroke Coordinator and Manager of Neurosciences.

In addition, the AHA/ASA has named St. Mary’s to its Target: Stroke Honor Roll nine years in a row. This year, St. Mary’s reached a new milestone, achieving the Elite category for the first time.

Measures of success

St. Mary’s also continues to meet Joint Commission guidelines for designation as a Primary Stroke Center, featuring comprehensive care for stroke patients from the moment they enter the hospital to lifelong follow-up care and preventive services.

St. Mary’s maintains its Gold-Plus, Target: Stroke awards and Joint Commission certification by meeting specific quality achievement measures. These measures include evaluation of the proper use of medications and other stroke treatments under the most up-to-date, evidence-based guidelines – all with the goal of speeding recovery and reducing death and disability for stroke patients.

The standards also require that stroke patients receive education on managing their health, have a follow-up visit scheduled with a neurologist, and have a plan in place for continuing care needs, such as home health care or outpatient rehabilitation.

Time is of the essence

In a stroke, time is brain. A stroke happens when blood flow to part of the brain is interrupted, usually by a blood clot that blocks a blood vessel. Up to 2 million brain cells can die each minute unless blood flow can be restored fast with clot-busting medication or mechanical thrombectomy, a procedure that physically removes clots from large blood vessels.

According to the AHA/ASA, stroke is the No. 5 cause of death and a leading cause of adult disability in the United States. On average, someone in the U.S. suffers a stroke every 40 seconds and nearly 795,000 people suffer a new or recurrent stroke each year. COVID-19, which can cause strokes in some patients, is likely making these numbers worse.

The key to treatment is the clot-busting drug Alteplase, generically known as tPA. For maximum effectiveness, Alteplase must be administered within about three hours of when symptoms start. In many patients, it can save brain cells that would otherwise die by dissolving the blood clot that is causing the stroke. But it cannot be given to every stroke patient. It can worsen internal bleeding if the stroke is caused by a damaged blood vessel.

“We rush patients with stroke symptoms to our CT scanner to measure the extent and location of the stroke and look for signs of bleeding,” says Emergency Department Director John Reeck. “At the same time, we collect samples for lab work and start treating symptoms, such as stabilizing their blood pressure. Our goal is to determine if it is safe to give Alteplase and administer it within 45 minutes of the time they come through our door.”

Reeck noted that calling 911 as soon as symptoms appear is a key to fast treatment. “Our partners in EMS can alert us that they are transporting a patient with stroke symptoms and can also do some of the prep work, saving time at the hospital.”

A continuum of care

St. Mary’s stroke services go beyond Alteplase. Through a partnership with Dr. Neil Woodall of Georgia Neurological Surgery and Comprehensive Spine, St. Mary’s also offers mechanical thrombectomy. This leading-edge procedure uses catheter technology and state-of-the-art imaging to physically remove blood clots from large blood vessels. The procedure is available at St. Mary’s anytime Dr. Woodall is available.

St. Mary’s also offers:

  • Neurosciences Critical Care Unit for patients who need intensive neurological care
  • General neurosciences unit for routine inpatient care and step-down care
  • Rehabilitation services (physical, occupational and speech-language therapy) before and after discharge
  • St. Mary’s Center for Rehabilitative Medicine in Athens for intensive inpatient rehab
  • St. Mary’s Good Samaritan Hospital swing bed program in Greensboro, also for intensive inpatient rehab
  • Outpatient follow-up and preventive care with St. Mary’s Neurological Specialists
  • Diagnostics and surgical services through Georgia Neurological Surgery & Comprehensive Spine
  • Outpatient rehabilitation service centers in Watkinsville, Lavonia and Greensboro
  • Home Health Care/Hospice/Palliative Care services across a multi-county region of Northeast Georgia
  • Stroke Support Group at St. Mary’s Hospital (temporarily suspended due to COVID-19)
  • Highland Hills Village retirement community with independent living, assisted living and memory care
  • Wellness Center for continued recovery and prevention

Is it a stroke? Think F.A.S.T.

Face drooping or numb, especially on one side


Arm weakness, especially on one side


Speech difficulty: slurred, soft, not making sense


Time to call 911!

Discover all of the Neuroscience services St. Mary's offers.

Learn More

neuro techs

High-speed CT services are available at all three St. Mary’s hospitals – Athens, Greensboro, and Lavonia (pictured). In conjunction with St. Mary’s neurohospitalists and the Augusta University REACH telemedicine program, emergency physicians at all three hospitals can administer Alteplase 24/7 to improve outcomes for stroke patients.

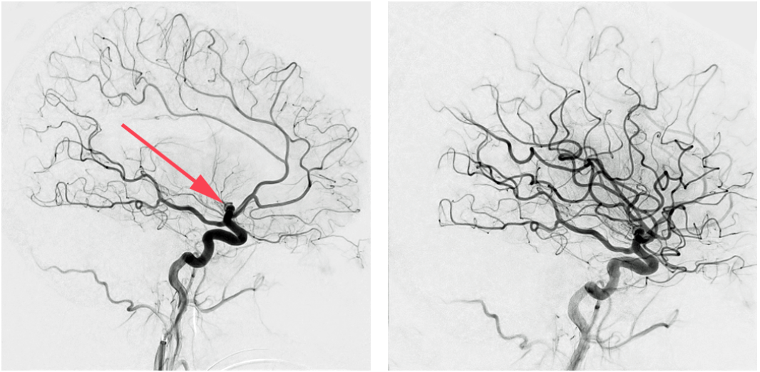
brain stroke before and after

These images show blood vessels in a patient’s brain at the time a stroke is diagnosed (blockage shown by arrow) and after the blood clot has been removed. The images show the dramatic ability of mechanical thrombectomy to restore blood flow to parts of the brain starved for blood by a major stroke.

The staff of St. Mary's Neuroscience Critical Care Unit provide intensive, physician-directed care for patients recovering from stroke and other neurological conditions.

Mark Ralston