From cutting-edge research to emergency care, St. Mary's is your heart's partner for life.

When a patient has ongoing chest pain, what's the best way to find out if it's being caused by a partially blocked artery in the heart – a heart attack waiting to happen?

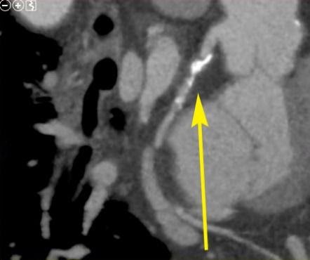
That's the layman's version of a question asked by the CREDENCE trial, a National Institutes of Health-funded study conducted at St. Mary's and 22 other sites around the world. Researchers enrolled 612 patients with chest pain to study whether high-resolution Computed Tomography (CT) is as good as a stress test at determining if patients have blockages that put them at risk.

The answer? Yes.

heart health accreditation

“What we found is that CT is as accurate as stress testing in measuring the significance of coronary artery obstructions, maybe more so," says Dr. Erick Avelar, a cardiologist with Oconee Heart and Vascular Center, medical director of advanced cardiac imaging at St. Mary’s, and the lead local researcher for the study site in Athens.

“The study demonstrates that CT is a safe and cost-effective way to diagnose coronary artery disease,” Dr. Avelar continues. “It produces results comparable to an established functional stress test such as nuclear stress test, stress echo, exercise EKG stress test, or stress MRI. It can be used as the first-line cardiac imaging choice when evaluating patients with chest pain.”

The results of the study were published recently in the Journal of the American Medical Association-Cardiology. If confirmed by other ongoing and future studies, the results could reshape how doctors diagnose the cause of chest pain and help patients prevent heart attacks.

Why It Matters

Coronary artery disease – the underlying cause of most heart attacks – claims the lives of about 600,000 Americans each year. Patients with coronary artery disease experience symptoms that can range from mild pain or shortness of breath during exertion to severe pain. Women often experience more atypical symptoms than men.

Some of the biggest risk factors that contribute to coronary artery disease are high blood pressure, uncontrolled diabetes, a sedentary lifestyle, a high-fat diet, using tobacco products, family history, and aging. Most heart attacks could be prevented with a heart-healthy lifestyle, according to the American Heart Association.

"The earlier we can detect and diagnose coronary artery disease, the more we can do to prevent a heart attack," says Clay Chappell, MD, medical director of St. Mary's Cardiac Catheterization Laboratory. "Medical science can do far more today to treat heart attack than we could just a few decades ago, but prevention is – and always will be – best."

St. Mary's Continuum of Cardiac Care:

Cardiac physician specialists – Outpatient preventive care, testing and monitoring provided by or under the supervision of cardiologists at Oconee Heart and Vascular Center. They also provide emergency and non-emergency cardiac catheterization care and follow-up at St. Mary’s. Offices in Athens, Oconee, Greensboro, Monroe and Lavonia. (796) 389-3440.

Emergency care – Partnerships with EMS across Northeast Georgia and direct-to-cath-lab admission at our Athens hospital to speed care to patients when every minute matters.

Advanced cardiac imaging – State-of-the-art cardiac imaging tests and echocardiography to evaluate heart function, coronary arteries, and heart valves.

Electrophysiology – Diagnosis and treatment of heart rhythm disorders.

Telemedicine – Allows many inpatients with cardiac complications at St. Mary's Good Samaritan Hospital and St. Mary's Sacred Heart Hospital stay at their local hospital.

Device implantation and follow-up – Pacemakers, implantable cardioverter defibrillators and other cardiac devices help improve safety and quality of life. Available at St. Mary's Hospital in Athens and St. Mary's Good Samaritan Hospital in Greensboro.

Cardio-oncology program – Testing and monitoring to help prevent heart failure in patients who undergo chemotherapy and/or radiation treatments that may damage the heart.

Cardiac Rehab – Education and exercise to maximize recovery, boost quality of life and reduce risk after cardiac events and/or procedures. (706) 389-2915.

Healthy Heart Living – Monthly class covering topics such as prevention, diabetes, nutrition, medications and smoking cessation. Free. (706) 389-2915.

Smoking cessation – American Lung Association Freedom from Smoking program helps smokers and vapers break their addition. Led by an ex-smoker. (706) 389-2915.

Nutrition & diabetes education – Nutritional tools to reduce risk of heart attack, stroke, diabetes and more. Nutrition office: (706) 389-3669. Diabetes Education: (706) 389-2150.

Wellness Center – Clean, fully equipped exercise center staffed by knowledgeable professionals. Fitness classes, Phase 3 Cardiac Rehab, strength-training and cardiovascular equipment, and therapeutic massage. (706) 389-3355.

Want to learn more about the Credence study? The article, Stress Myocardial Perfusion Imaging vs Coronary Computed Tomographic Angiography for Diagnosis of Invasive Vessel-Specific Coronary Physiology is posted at jamanetwork.com/journals/jamacardiology.

Early Heart Attack Care

Did you know that heart attacks have beginnings? Subtle signs may appear hours or even days before the heart attack itself. Know these early warning signs and be ready to take action.

Common early warning signs:

  • Left-sided chest pain, pressure, aching, squeezing
  • Shortness of breath
  • Nausea or vomiting
  • Pain that travels down one or both arms
  • Sweating

Atypical symptoms:

  • Unexplained complete exhaustion or feeling drained, dizziness
  • Upper back pain that travels into the jaw
  • Stomach pain or heartburn feeling
  • Shoulder pain
  • Right sided chest pain

A person experiencing atypical symptoms often will deny that there is a serious problem and will need encouragement to seek medical attention. Be prepared to call 911. It’s better to be safe than sorry.

Discover cardiology services offered by Oconee Heart and Vascular Center

Learn More

dr avelar

Dr. Erick Avelar with a 64-slice CT scanner.

credence Trial

The CREDENCE Trial demonstrated that CT scanning can measure the significance of heart artery blockages as well as, if not better than, stress testing.

dr. chappell

Dr. Clay Chappell performs a cardiac catheterization procedure at St. Mary's, using balloon angioplasty and medicated stent implantation to reopen a blocked artery in the patient's heart.

st mary's cardiac rehabilitation program

St. Mary's Cardic Rehabilitation Program helps patients maximize their recovery and prevent future heart problems following a heart attack or cardiac procedure.

Mark Ralston